審美治療

審美治療とは?

歯科治療には「虫歯や歯周病を治す」「入れ歯を入れる」といった機能的な側面と「白く自然で形のいい歯をいれる」「変色している歯をきれいにする」「入れ歯やブリッジなどのかぶせものの場合でも、できるだけ金具やかぶせた金属が見えないようにする」という美観の側面があります。このうち美観の側面を重視した治療が審美治療です。

私たちは機能的にしっかり治療した上で、この美観の側面も大事と思っています。

審美治療を行うことによって、自然で美しい口元になると、気持ちも明るくなり、あなたの過ごす大切な日々が素晴らしいものになるでしょう!

 

審美治療のメニュー

クリーニング

歯面清掃用ハンドピースを用いて、身体にやさしい炭酸カルシウムの微細粉末を歯面に高速に吹き付けて、歯を傷つけずに着色を落し、きれいな歯にします。

歯面清掃ハンドピース

クリーニング前

クリーニング後

 

ホワイトニング

専用のホワイトニング剤を歯に塗布して歯の色を化学的に、より白くする方法です。

歯を削って白いかぶせものをしたりすることなく、ご自身の歯の形のまま白くできます。
かなり白くするとしみる副作用がでたりすることから、当院では体に優しくあまりしみることがなく自然な白さになる方法を行っています。
「家庭でご自身で行うホームホワイトニング」は手順が煩雑になってしまうことから、少し効果に違いがありますが、当院では「院内で医療者が行うオフィスホワイトニング」で短期間で終われるようにしています。

ホワイトニング前

ホワイトニング後

 

治療内容:1日目と1週間後にホワイトニング剤を塗布し、光照射
費用:1歯3000円×12本=36000円+消費税
デメリット:ごくまれにですが術後にしみることがあります 

カラーレスメタルボンドセラミック

薄い金属のフレームにセラミック(陶器)を強固に焼き付けたかぶせものです。

金属を使用しているため、強度が高く、色調に透明感があるため天然歯に非常に近い見た目になり、全く変色しません。
金属を使用しているため、オールセラミックやハイブリッドセラミックなどの金属を全く使用していないかぶせものに比べてより強度が高くなっています。

また薄く作製できるため、歯の削る量がより少なくて済みます。

さらに金属の精密鋳造作製ですので、より適合性が向上しています。従来のメタルボンドセラミックは歯肉の変色の可能性もありましたが、歯肉に接触する付近に金属を使用せず陶器で覆う、カラーレスという方法を用いることで、変色もほとんど見られません。

カラーレスにすると従来のメタルボンドセラミックに比べて、すこし費用が高くなってしまいます。また金属を使用しているため、頻度は非常に少ないですが、金属アレルギーの方は使用できません

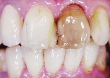
青矢印の着色した形態不良の歯をカラーレスメタルボンドセラミックに入れ替えました。 青矢印がカラーレスメタルボンドセラミック
13年経過しているが歯の変色や歯肉の黒ずみは見られなく安定しています。

治療内容:歯を削って、型を取り、2週間後にかぶせています
費用:80000円+消費税
デメリット:ごくまれに歯の表面が欠けることがあります

ウォーキングブリーチ法

35%過酸化水素と過ホウ酸ナトリウムの混合ホワイトニング剤を歯髄腔内に封入して、歯の内部から漂白する方法です。

漂白の効果は高く、裏に小さい穴を開けるだけなので歯はほとんど削らずにすみます。ただ神経の治療をしている歯が対象なので、神経の治療のしていない歯では行いません。

治療前

治療後

 

治療内容:1日目にホワイトニング剤を封入して、1週間後に撤去し、レジンを詰めています 
費用:50000円+消費税 
デメリット: 神経の治療をしていない歯では行えません 

 

高性能コンポジットレジンによる形態修正

歯を削ることなく高性能接着材を歯の側面に塗布し、その上に新開発コンポジットレジンを接着させて形態を整え、見た目の違和感を改善し、自然にきれいに見えるようにします。

ほとんど取れることはありませんが、かなり硬いものを噛んでしまった場合取れることがあります。しかし歯を削っていませんので、歯を傷つけることなく繰り返し同じ処置が可能です。

青丸の部位の歯にコンポジットレジンで修正し、自然にきれいに見えるようになりました。

 

ホワイトニング、カラーレスメタルボンドセラミック、ウォーキングブリーチ法で治療する際の注意事項

①健康保険適用外のため自費診療になります。(税別)

 ホワイトニング 1歯3,000円
 カラーレスメタルボンドセラミック 1歯80,000円

 ウォーキングブリーチ法 1歯50,000円

②医療費控除の対象になります。